Nos Horaires :
Lundi – Vendredi : 09h30 à 16h30
Samedi : 09h30 à 16h30
Téléphone : 05 28 84 26 67 ou Whatsapp: 06 89 50 87 16

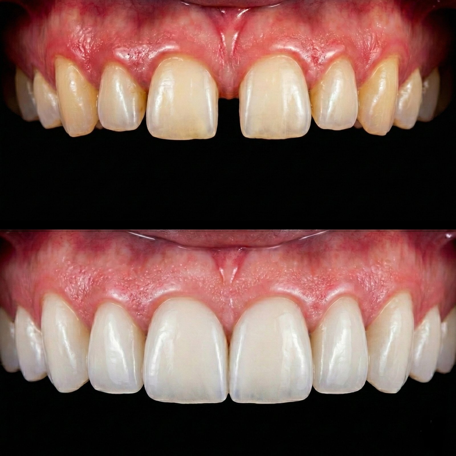
Une couronne dentaire est une prothèse fixe qui agit comme un véritable « bouclier » pour votre dent. Semblable à un capuchon, elle recouvre intégralement la partie visible de la dent pour restaurer sa forme, sa taille, sa force et son apparence.
Au Centre Dentaire Faiq à Agadir, nous proposons des couronnes fabriquées à partir de matériaux de haute qualité (porcelaine, zircone, céramo-métallique ou alliage d’or) pour vous garantir un résultat à la fois solide et parfaitement naturel.
La pose d’une couronne est une solution polyvalente qui répond à des besoins médicaux et esthétiques. Votre dentiste à Agadir pourra vous recommander cette intervention si vous êtes dans l’une des situations suivantes :
Dent fragilisée : Pour protéger une dent fissurée, cassée ou très cariée qui risque de se briser.
Après une dévitalisation : Une dent ayant subi un traitement de canal (dévitalisée) devient plus fragile et nécessite souvent une couronne pour éviter la fracture.
Restauration esthétique : Pour recouvrir une dent sévèrement tachée, jaunie ou mal formée.
Support de prothèse : Pour servir de pilier à un bridge dentaire ou pour recouvrir un implant dentaire.
Si vous ressentez une douleur à la mastication ou si vous avez une dent visiblement abîmée, n’attendez pas : prenez rendez-vous pour un diagnostic précis.
La procédure se déroule généralement en deux étapes, mais grâce à nos équipements modernes, nous optimisons votre confort.
Lors de la première visite, le dentiste prépare la dent en retirant une fine couche d’émail sous anesthésie locale. Vous ne ressentirez aucune douleur. Ensuite, au lieu de la pâte à empreinte traditionnelle (souvent désagréable), au Centre Dentaire Faiq, nous utilisons un scanner numérique de dernière génération.
Avantage : Cette technologie prend une image 3D ultra-précise de votre dent en quelques secondes, garantissant une couronne parfaitement ajustée.
Les données numériques sont envoyées au laboratoire pour concevoir votre couronne sur mesure.
Couronne CEREC : Dans certains cas, grâce à la technologie CEREC, la couronne peut être usinée et posée le jour même.
Couronne laboratoire : Si une fabrication en laboratoire est nécessaire (2 à 3 semaines), une couronne provisoire protégera votre dent en attendant. Une fois prête, la couronne définitive est scellée durablement avec un ciment dentaire spécifique.
Durabilité : Bien entretenue, une couronne peut durer de nombreuses années (souvent plus de 10 à 15 ans).
Protection : Elle sauve une dent qui aurait autrement dû être extraite.
Esthétique : La zircone et la céramique imitent la translucidité de l’émail naturel.
Une dent couronnée peut toujours être sujette à la carie au niveau de la jonction avec la gencive (le collet). L’entretien est donc identique à celui de vos dents naturelles :
Brossage deux fois par jour avec un dentifrice fluoré.
Utilisation quotidienne de fil dentaire.
Visites de contrôle régulières pour vérifier l’étanchéité du ciment.
Bien que rares, des complications comme une sensibilité passagère ou une inflammation de la gencive peuvent survenir. Si la dent sous la couronne se carie ou si le ciment se fragilise, la couronne peut se desceller. Une visite rapide chez votre dentiste permet souvent de régler le problème.
Si la couronne n’est pas la solution adaptée, d’autres options existent :
Les facettes dentaires : Pour des corrections purement esthétiques sur la face avant des dents.
L’onlay/inlay : Une alternative à la couronne lorsque la dent n’est que partiellement abîmée.
Le bridge ou l’implant : Si la dent ne peut pas être sauvée et doit être extraite.
Vous souhaitez redonner force et éclat à votre sourire ? Contactez le Centre Dentaire Faiq à Agadir dès aujourd’hui pour une consultation personnalisée.
Nos Horaires :
Lundi – Vendredi : 09h30 à 16h30
Samedi : 09h30 à 16h30
Téléphone : 05 28 84 26 67 ou Whatsapp: 06 89 50 87 16